请输入关键字
确定
公众版
员工版
返回旧官网
En
首页
医院概况
医院简介
领导团队
荣誉资质
组织架构
历史沿革
医院文化
医疗服务
预约就诊
出诊信息
门诊指南
住院指南
检验检查结果查询
医保信息
健康体检
常见问题
医院位置
院内导航
专家介绍
科室导航
优势创新
区域医疗
医联体
特色医疗技术
优势学科群
高新设备
信息公开
通知公告
招采信息
院务公开
党群园地
工作动态
品牌创建
廉政建设
政策法规
党员学习
资讯中心
医院动态
媒体报道
专题专栏
视频中心
健康与疾病防御
健康管理
中毒救治
职业病防治
健康科普
人才招聘
招聘公告
高层次人才招聘
GCP
医学伦理委员会
护理园地
护理概况
护理资讯
专科护理
护理荣誉
资讯中心
医院动态
媒体报道
专题专栏
视频中心
医疗新闻
综合新闻
16
2023.05
电锯意外切断拇指,医生连夜手术成功接活
近日,家住桂林的文先生早早赶到了中南大学湘雅二医院桂林医院创伤骨科·手足显微外科,这天是他和科室负责人唐继全约定的复诊日。虽然距离那次意外已经过去了一段时间,但说起当时的情况,他依然心有余悸:“流了好多血,左手拇指直接被切断,我当时以为肯定是保不住了,真没想到...
2023.05.16
12
2023.05
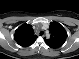
小小洞眼、大大学问——中南大学湘雅二医院桂林医院腔镜下切除复杂纵隔病变
近日,中南大学湘雅二医院桂林医院驻桂专家团队凭借多年来对复杂纵隔肿瘤的诊断和手术经验,为患者成功切除一例巨大复杂纵隔病变。今年40岁的秦老师在中南大学湘雅二医院桂林医院开展的每年例行的常规体检,检查发现其胸部主动脉旁存在一个巨大占位病变,这一检查结果可吓坏了秦...
2023.05.12
12
2023.05
介入助力 巧取滤器丨中南大学湘雅二医院桂林医院成功开展疑难复杂下腔静脉滤器取出术
近日,中南大学湘雅二医院桂林医院胃肠、肛肠、血管外科成功救治一名因下腔静脉滤器严重变形、回收钩贴壁,随时有生命危险的43岁患者,挽救了患者的生命。一波三折,小小滤器难取出患者滤器造影图患者徐先生3个月前出现左下肢肿胀,当地医院诊断下肢静脉血栓形成,为了预防致死...
2023.05.12
12
2023.05
团委圆满举办“学习党的二十大 青春践新篇”暨五四表彰大会
5月10日下午,中南大学湘雅二医院桂林医院在行政楼5楼大礼堂举行“学习党的二十大 青春践新篇”暨五四表彰大会。医院党委书记、院长刘先领,党委副书记、纪委书记李明,党委委员、副院长范峻峰,业务副院长温利辉,行政副院长林涛,总会计师胡红杰,湘雅二医院桂林医院筹建组...
2023.05.12
12
2023.05
点赞!白衣天使的高光时刻
云霞开锦绣,万物启芳华。在这万木葱翠,鲜花盛开的五月,我们迎来了第112个“5.12”国际护士节。5月9日下午,中南大学湘雅二医院桂林医院举办“我们的护士 我们的未来”2023年度国际护士节庆祝暨表彰大会。医院党委书记、院长刘先领,党委副书记、纪委书记李明,副...
2023.05.12
1
…
147
148
149
150
151
…
370
GO
查看更多