请输入关键字
特色技术丨从100米到300米!单向活瓣肺减容术让慢阻肺患者重获“呼吸自由”
作者:宾静 朱燕凤 时间: 2025.03.07
您是否饱受肺气肿困扰?日常活动气喘难耐,穿衣洗漱皆成挑战?胸闷气短似枷锁缠身,自由呼吸渐成奢望?生活质量一落千丈,甚至对生活失去信心?别放弃!支气管单向活瓣肺减容术为您打开新希望之门!
近日,中南大学湘雅二医院桂林医院呼吸与危重症医学科联合麻醉科团队,成功实施一例支气管镜下肺叶通气检测+单向活瓣肺减容术。这一前沿技术不仅显著改善慢阻肺患者的肺通气功能,更为广大呼吸疾病患者点亮生命曙光。
精准施术解枷锁,步履生风焕新生
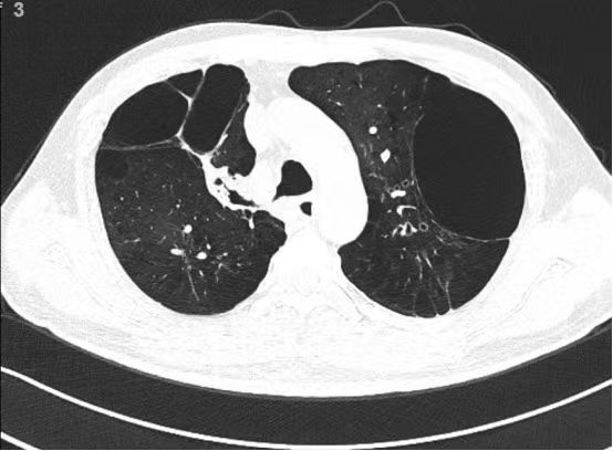
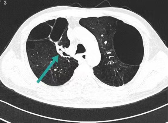
48岁的王先生因自述“反复咳嗽咳痰、气喘二十余年,加重一周”,于2月14日慕名到院治疗。过去二十年间,他因严重气喘无法远行,日常步行百米即需停歇,活动范围仅限小区花园。CT检查显示其双肺上叶存在巨大肺大泡,严重挤压正常肺组织,导致肺功能急剧下降。

2月26日,呼吸与危重症医学科行政主任刘祁汨采用肺叶通气功能检测系统,精准评估患者右肺上叶及左肺上叶支气管通气功能。为兼顾疗效与经济性,团队创新设计“分步疗法”:首阶段实施右肺上叶前段支气管活瓣置入,待靶区肺大泡充分萎陷后取出活瓣,再根据疗效评估选择适宜区域进行二次置入,最大化减少手术费用。

术后第二天评估显示,王先生平地行走距离提升至300米,自觉气喘症状显著缓解。肺功能检测数据更直观:FVC(用力肺活量)提升0.14L,FEV1(第一秒用力呼气容积)改善0.08L。数字背后,是呼吸自由的真实回归。

经支气管镜单向活瓣肺减容术是通过支气管镜将单向活瓣精准置入病变支气管,单向活瓣在患者吸气时闭合阻止气体进入,患者呼气时开放,使潴留在活瓣远端肺叶段内的残气逐渐排出,促使过度膨胀的肺组织逐渐萎陷,实现“微创肺减容”。全程无需开胸,创伤小、可逆性强、安全性高。
核心优势一目了然
微创高效:无切口、恢复快,并发症少;
精准高效:针对病变肺叶进行定向治疗,显著改善肺功能;
持久稳定:活瓣可长期留置,治疗效果持久稳定;
灵活可逆:活瓣可随时取出或调整,治疗更人性化。
适应人群快速自查
○ 重度肺气肿经内科治疗效果不佳者;
○ CT显示肺大泡与正常组织分界清晰;
○ 无严重肺动脉高压或心功能不全等严重并发症;
○ 顽固性气胸、支气管胸膜瘘患者。
选择支气管单向活瓣肺减容术,您将收获——
自由呼吸:摆脱气喘枷锁,重拾畅快深呼吸;
活力重启:轻松应对日常活动,享受生活乐趣;
身心新生:告别疾病阴霾,拥抱高质量生活。
【温馨提示】支气管单向活瓣肺减容术是一项先进的医疗技术,对操作团队经验要求极高,需严格评估适应症。如需咨询或预约,请到中南大学湘雅二医院桂林医院呼吸与危重症医学科(健康热线:0773-2854439),专家团队将为您提供全程护航。