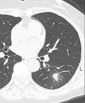
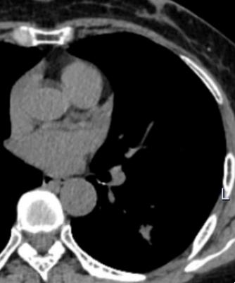
2023年6月16日,对于65岁的林女士及家人来说是个无比灰暗的日子,体检CT结果显示林女士左下肺背段有一约29×16mm(核桃大小)结节影,边缘模糊,有长毛刺,考虑肺部恶性病变,医生建议尽快进行手术治疗,这对于林女士一家人来说无异于晴天霹雳。
林女士遵照医嘱入住某三甲医院,家人多方打听后得知中南大学湘雅二医院桂林医院院长刘先领教授是国内知名临床肿瘤专家,尤其在肺癌诊治领域颇有建树,于是在手术前一天邀请刘先领教授前来会诊。刘先领教授仔细询问患者病史,详细查看影像资料并与患者以往肺部CT进行对比,指出患者诊断肺部恶性肿瘤证据不足,建议终止手术,予以抗炎治疗两周,一月后再次复查CT观察病变情况再作进一步处理。患者遂出院口服莫西沙星抗炎治疗。
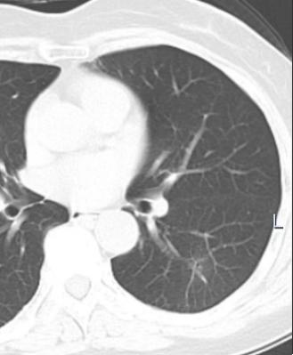
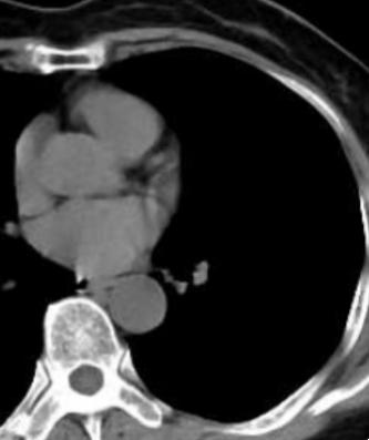
7月22日林女士遵照刘先领教授医嘱复查肺部CT,神奇的一幕出现了,其原左下肺“恶性肿瘤”完全消失,林女士免除了一次全麻大手术带来的风险,节省了高达数万元的医疗费用,更重要的是保住了计划切除的重要脏器(肺叶),全家人喜极而泣。


2016年6月16日(体检发现左下肺结节)


2023年7月20日(抗炎治疗后结节消失)
刘先领教授介绍,随着人们对健康的重视和体检的普及,大量的肺部“结节”、“阴影”、“肿物”被发现,但并非所有的阴影都是恶性病变,遇到这种情况,建议大家到正规医疗机构找经验丰富的专科医师就诊。近年来,多学科联合诊疗(MDT)在肺结节诊治和早期肺癌的筛选中发挥了重要作用,肿瘤科、胸外科、呼吸科、影像科、病理科等科室组成MDT团队,共同参与肺部疾病的诊治,给患者制定出全程规范化诊疗方案,大大提升早期肺癌诊断准确率和治愈率,同时让不需要手术的患者免除不必要的手术创伤。
供稿:肿瘤科
审核:一审吴悦 二审唐大钧 三审唐清