请输入关键字
有一种“年味”叫坚守
作者:卢一红 莫婷 时间: 2024.02.20

钟声炮竹辞旧年,人添岁月日增光。新春佳节是家人团聚、探亲访友的好时光。在千家万户笑开颜,喜迎春节之际,中南大学湘雅二医院桂林医院心血管内科全体医护人员仍绷紧医疗安全这根弦,坚守岗位,为人民群众的身“心”健康保驾护航。

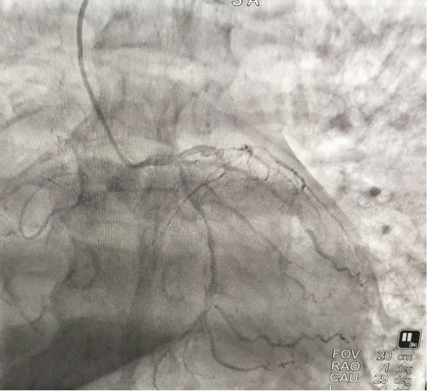
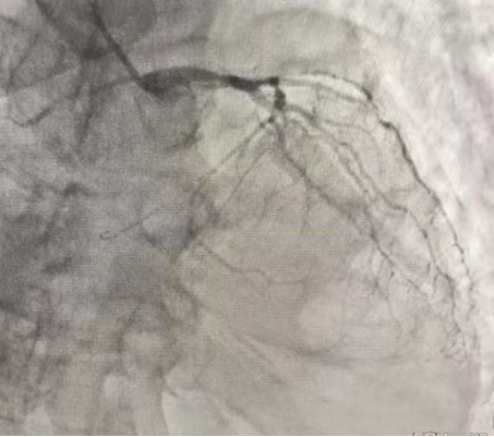
春节期间的心血管内科并不平静。大年初三凌晨五点,一声急促的电话铃声打破了夜的平静,一名84岁的男性患者因气促明显,疑似急性心梗被紧急送入中南大学湘雅二医院桂林医院急诊科。心血管内科行政副主任蒋小菊迅速响应,判断该患者为急性广泛前壁心肌梗死,建议立即开展冠脉造影检查。20分钟内,导管室人员及急诊手术医生全部到位,准备为患者进行造影检查。

6fe77399f05d******3692d619db04f7f.png

01d91c55b1514a******72652f9162d1d.png

冠脉造影结果显示,患者面临的是极其危险的冠脉三支病变,远端血流受到极大影响,左前降支血管中断闭塞,左回旋支75%-90%的狭窄,右冠状动脉99%的狭窄。蒋小菊在查看造影结果后明确指出,要尽快开通血管。在呼吸机的辅助支持下,心血管内科团队成功为患者闭塞的血管破开道路,顺利完成了救治。

心血管内科团队用实际行动构建了群众生命健康的安全屏障。春节前后是心血管疾病的高发时期,从除夕至大年初七日,科室共收治心衰、心梗等患者45人,护理病危病重患者104人次,在蒋小菊、赵印平两位行政副主任带领下,医护团队完成了4例危重症心血管病患者的急诊介入救治。医护们舍小我为大家,为“爱”守护了生命的绿色通道,让无数个家庭团圆度过了春节。

a2686677f83a4609995a161dde9e1ff4.png

时光不恋过往,孜孜以搏来时。展望2024年,中南大学湘雅二医院桂林医院心血管内科医护团队将继续秉承“一切以病人为中心”的服务理念,在充满挑战和希望的新征程上,以高尚的医德、精湛的医术、优质的服务,竭诚为每一位患者服务。

专家介绍及门诊时间

af83b782db27423dbbe070900473089a.png

周胜华

中南大学湘雅二医院,教授、博士生导师,中南大学湘雅名医,中南大学一级主任医师。“国之名医·优秀风范”奖获得者。中华医学会心血管病学专业委员会常务委员兼副秘书长、中国医师协会心血管内科医师分会副会长、中国医师协会心力衰竭分会副会长、湖南省医学会心血管病学专业委员会主任委员。卫生部有突出贡献中青年专家、“卫生部优秀青年科技人才”、国家心血管病介入诊疗质量控制专家、国家心血管病中心专家委员会委员,湖南省心血管医院(中心)主任,心血管代谢医学湖南省重点实验室主任。

《Journal of Interventional Cardiology》Section Editor、《Circulation(中文版)》、《中华医学杂志英文版》、《中华心律失常学杂志》、《中国心脏起搏与心电生理杂志》、《中国介入心脏病学杂志》等杂志编委。《中华心力衰竭与心肌病杂志》副主编,《柳叶刀》杂志特邀审稿人,高等教育出版社《内科学》统编教材主编并获首届全国教材建设奖二等奖,国家级精品课程《内科学》视频公开课负责人;近年以通讯作者在《Circulation Research》、《JAMA Network Open》、《European Heart Journal Open》、《J Adv Res》等杂志发表SCI 论文近百余篇;2021年主持国家自然科学基金原创探索计划项目1项;主持国家自然科学基金面上项目4 项、美国中华医学基金会项目1项、中华医学会临床研究专项基金1项、卫生部重点部属医院临床学科重点项目1项;获湖南省部级科技进步奖二等奖8项;2021年获湖南省首批技术攻关“揭榜挂帅”项目;国际首创肥厚型梗阻性心肌病无创精准放疗获发明专利多项。

ec2d9162968e4ec3b75f5fbd7fae8c53.png

刘启明

中南大学湘雅二医院心血管内科主任。中南大学湘雅二医院教授、博士生导师,中南大学一级主任医师。

美国心脏病学会资深会员FACC/美国心律学会资深会员FHRS、中华心电生理和起搏分会常务委员/中华心血管病学分会委员、中国医促会心律与心电分会副主任委员、湖南省心血管病学专业委员会副主任委员/湖南省心电生理与起搏专业委员会主任委员、湖南省心血管病介入诊疗质控中心副主任、湖南省医学科学骨干人才,湖南省普通高校骨干青年教师、国家卫健委授予“健康卫士”荣誉称号。

《PACE》、《中华心律失常学杂志》等期刊编委、美国Oklahoma大学和德国汉堡St. Georg医院访问学习。

国家自然科学基金面上项目5项,湖南省自然科学基金3项,国家科技部重点专项1项,湖南省科技创新重大项目1项,主编国内首部《无导线心脏起搏器》专著。

2359c70c97fb4949ac5f5d4fe3844e1c.png

黄贤圣

中共党员,副主任医师,副教授,博导。中南大学湘雅二医院桂林医院副院长。中国医师协会青委、中国心脏重症委员会青委、省医师协会心血管分会青年主委、省健康服务协会心血管分会秘书长、省预防医学会心血管分会青年主委、血脂与动脉粥样硬化学组委员。省卫健委225工程学科骨干人才。

叠彩院区门诊:周二上午

03158a49228b4c15a6f003b255b232d8.png

涂涛

医学博士,中南大学湘雅二医院心内科副主任医师。中南大学湘雅二医院桂林医院心内科执行副主任。中国医药教育协会血管微创医学专业委员会委员、湖南省健康服务业协会心血管健康分会理事、湖南省县级医院急性心肌梗死救治能力提升“导师制”培训项目兼职导师。

主持国家自然科学基金青年基金项目1项,湖南省自然科学基金青年基金1项,参与国家自然科学基金项目多项;以第一作者目前在《Lancet》等心血管疾病学术期刊发表SCI论文19篇;获2022年第四届全国“中青年心血管病学菁英——临床技术创新奖”;2018年“起搏世界杯”全球总决赛操作最佳单项奖等。 

主攻方向:冠心病、瓣膜病和心律失常疾病介入诊疗。完成复杂冠脉病变PCI超2000例,擅长冠脉慢性闭塞病变、左主干病变PCI以及冠脉旋磨、永久起搏器植入等技术。参与完成经导管主动脉瓣置换术超100例。

叠彩院区门诊:周一下午,周三上午

通讯员:卢一红 莫婷

审核:一审刘鑫林 二审唐大钧 三审唐清