42岁的赵女士去年体检时,发现自己肺部有多个结节,近期感染新冠病毒康复后赵女士前往医院复查肺部CT,发现结节不仅没有消失,似乎还有增多的趋势,让她十分担忧。忧心忡忡的赵女士听说中南大学湘雅二医院桂林医院叠彩院区有湘雅二医院专家坐诊,于是慕名求诊。
中南大学湘雅二医院桂林医院胸外科副主任医师梁恒星查看赵女士的检查资料后,判断赵女士的右中肺结节可能为“早期肺部肿瘤”。除此之外,赵女士右上肺还有一个5mm的毛玻璃病变,很可能也属于 “早期肺部肿瘤病变”。但是,这个绿豆大小的结节藏在海绵一样的肺里,在手术中要找到它们如同大海捞针一般,盲目切除则可能造成大片肺功能损失,延缓患者的术后康复。
梁恒星教授预先准备好定位装置,用一根10厘米长的定位针对右上肺结节进行了准确的定位,整个定位时间仅为20分钟。在手术室完成麻醉后,梁恒星教授团队对患者进行全胸腔镜下右中肺叶切除+右上肺结节切除。快速冰冻切片结果回报明确了梁恒星教授的术前判断,因此团队对患者进行了系统淋巴结清扫,为赵女士彻底解除了后顾之忧。整个手术仅耗时2个小时,手术切口不到一根拇指长。48小时后,赵女士拔除了引流管并能下床自由活动,术后第5天顺利出院。

此次手术的主要目标——右中肺结节

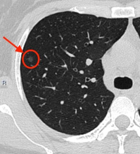
右上肺结节

由于结节位置特殊,团队利用CT定位后对上肺结节进行精准切除
随着生活环境的变化和检查手段的提高,肺小结节的检出率也随之提高,甚至十几岁的年轻人都有好几个肺结节,其中不乏早期肺癌的病例。
梁医生介绍,中南大学湘雅二医院胸外科每年进行近3000台肺结节切除手术,其中90%以上诊断为“肺癌”。这其中几乎一大半都是小于1厘米的肺毛玻璃病变,也就是业内人说的GGO。对于肺表面的毛玻璃病变,往往手术中肉眼或者触觉定位;位于特殊部位的肺结节也可以经过影像重建进行肺段切除达到保留大量肺组织的目的。但是处于肺中间的低密度GGO,由于定位困难,如果过于激进地切除肺叶,往往会造成患者术后生活质量下降。尤其像赵女士这种多发结节患者,在切除一个肺叶后,再为一个早期癌变扩大切除占右侧肺功能近三分之一的右上肺,会显著影响后期的生活质量。

湘雅二医院桂林医院临桂新院区Hybrid手术间构想图
中南大学湘雅二医院自2018年来一直致力于肺小结节的精准治疗,现可在CT和纤支镜磁导航等高精尖技术下进行肺小结节定位,从而达到为患者保留更多肺功能的目的。自去年12月17日中南大学湘雅二医院桂林医院揭牌以来,湘雅二医院胸外科派出长驻专家对桂林医院实行技术平移,目前已开展全胸腔镜下肺小结节精准切除、各类肺癌根治性手术以及复杂纵隔肿瘤切除术等。今年下半年,临桂院区建成后,将推出Hybrid手术间无痛式肺小结节定位后切除术,降低患者定位前后的焦虑,进一步体现出“围术期快速康复示范病房”的优势。
附:湘雅二医院桂林医院 梁恒星副主任医师 出诊时间:叠彩院区:每周一、三上午(2~6月为义诊)