近日,中南大学湘雅二医院桂林医院驻桂专家团队凭借多年来对复杂纵隔肿瘤的诊断和手术经验,为患者成功切除一例巨大复杂纵隔病变。
今年40岁的秦老师在中南大学湘雅二医院桂林医院开展的每年例行的常规体检,检查发现其胸部主动脉旁存在一个巨大占位病变,这一检查结果可吓坏了秦老师一家。
健康管理中心医师告诉秦老师,现在湘雅二医院专家在医院胸外科长期坐诊,并已常规开展胸腔镜手术,可以先请胸外科专家会诊,听听专家意见。
湘雅二医院驻桂胸外科专家梁恒星副主任医师仔细查看秦老师CT检查结果,详细询问秦老师相关病史后,宽慰他:虽然肿瘤范围比较大,有鸭蛋大小,但综合分析考虑该病变是良性病变的可能性大,可采用胸腔镜微创下切除占位病变。

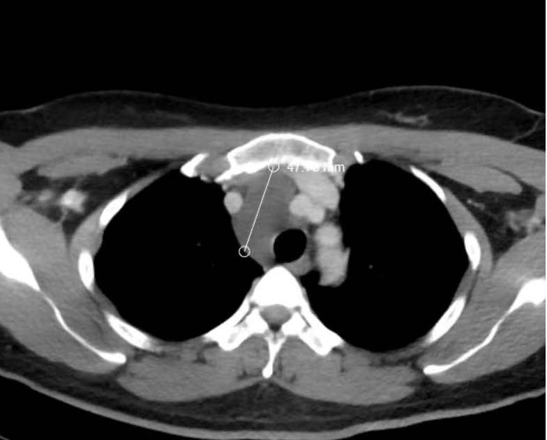
位于大血管旁的纵隔病灶
虽然秦老师的病变极大可能是良性病变,但生长位置却极其“尴尬”——病灶紧邻人体最大的几根血管主动脉、无名动脉和上腔静脉,且病灶顶部紧挨喉返神经。微创手术操作稍有不慎,容易出现无法控制的大出血,或者损伤喉返神经造成声嘶,对秦老师日后的教师生涯产生无法估量的损失。
传统开放手术可以降低损伤风险,完整切除病灶,却会给患者留下巨大疤痕;而微创手术需要主刀医生精细操作和丰富的经验来降低风险、切除病灶。如何保证微创手术下完整切除这么大的病灶,对每一个胸外科医生来说都是不小的挑战。
在术前综合评估后,梁恒星选择微创切除的手术方案——只在腋窝下方做3个小指头宽的切口将病灶切除。
秦老师一家虽然非常担心手术风险,但听了梁医生有理有据的分析后,悬着的心也慢慢放下了。
原来,在初步查看秦老师的CT后,梁恒星认为秦老师的病灶极有可能是一个充满液体的囊性病变。为此,他还组织了湘雅二医院驻桂放射科专家朱晖教授、神内科专家申向民教授一起商讨,最终明确——患者胸部磁共振提示患者病变为囊性,并且通过非创伤性血管成像技术提示颅内交通动脉良好,可以承受脑部血管一过性阻断的风险。
此外,负责国家区域医疗中心心血管外科建设的湘雅名医——周新民教授也一并在手术现场,为可能出现的大血管破裂风险上了最后一道保险。

经胸腔镜微创下完整切除纵隔病变
最终,在麻醉科、手术室等各科的协作下,病灶得以完整切除,手术中胸腔出血量非常少、连一块止血纱布都没有用上。术后病理结果,也证实了梁医生的判断:秦老师的病灶是一个淋巴管囊肿。
尽管目前单孔胸腔镜越来越流行,专家及团队也具备独立完成单孔胸腔镜手术的技术,为什么对秦老师这样的病例,反而采用看起来“过时”的三孔胸腔镜技术呢?
因为单孔胸腔镜虽然切口较少,却需要切断胸壁的肌肉组织,造成肌肉组织的疤痕愈合,这种情况对于秦老师这种良病灶显得弊大于利。而三孔胸腔镜虽然切口多,但都在腋窝下方,平常有上臂和衣物遮挡,不容易被察觉;加之不超过1cm的小孔意味着几乎无需切断肌肉纤维、从而更好地保留胸壁的完整性;此外,三个小孔的总长度会远小于一个切口的长度。因此,对于一些特殊胸部疾病患者,这种三孔胸腔镜有它特有的优势。
来自中南大学湘雅二医院胸外科的梁恒星副主任医师一直跟随全国知名专家、湘雅名医——喻风雷教授学习,总结了近百例重症复杂纵隔疾病的救治经验,目前已可以独立开展侵犯大血管的复杂纵隔肿瘤切除及大血管重建手术。湘雅二医院桂林医院是以心血管为特色的国家区域医疗中心,由全国排名前十的湘雅二医院心血管外科进行对点援建,更可以为桂北地区的的重症复杂胸部手术保驾护航。
专家简介

梁恒星
医学博士 副主任医师
2009年毕业于中南大学湘雅医学院临床医学七年制。毕业后一直致力于胸外科手术及急危重症救治工作。参与完成手术逾千台,独立完成的胸腔镜手术占比超九成,可开展胸腔镜下肺叶、肺段切除术等常规胸科手术,亦可完成巨大纵隔肿物扩大切除及血管重建术等。自2018年参与建立胸外科监护室以来,现监护超4000人次/年,不仅加速了胸外科患者围术期康复进程,并使术后死亡率大幅减低至1‰以下,远低于业内水平。现任湖南省医学会胸外科分会创伤学组委员,湖南省老年医学会胸外科分会委员,湖南省胸外科加速康复外科示范病房及培训中心秘书。目前作为主要参与人参与了国家级课题3项,2015年在美国艾奥瓦大学卡佛医学院研修一年,以第一作者/通讯作者在中外刊物上发表文章、论著10余篇,IF值超20。
擅长:毕业后一直致力于胸外科手术及急危重症救治工作。

周新民
教授,主任医师,博士生导师
1986年硕士研究生毕业后留任湘雅二院工作至今,2000年赴德国心脏中心(柏林)进修心脏移植、心室辅助装置,2002年赴英国牛津大学进修心衰和大血管外科治疗,2013年赴美国贝勒医学院德克萨斯心脏中心进修主动脉综合外科治疗。
现任中国医师协会心血管外科医师分会副会长,中华医学会胸心外科分会全国委员,湖南省突发公共卫生事件专家委员会委员,中国医师协会大血管分会和心衰分会副主委,国家自然科学基金评审委员会专家库成员,卫生部国家医学考试中心命题专家,湖南省医学会胸心血管外科专业委员会副主委,中华胸心血管外科杂志编委,中国胸心血管外科临床杂志编委等。2013年获中南大学“湘雅名医“称号。常年工作在临床医疗第一线,擅长A型急性主动脉夹层的综合手术治疗、冠脉搭桥、成人瓣膜疾病的外科治疗、心肺移植、心肺脑复苏术等成人心脏病的外科治疗。
擅长:主要擅长A型急性主动脉夹层的综合手术治疗、冠脉搭桥、成人瓣膜疾病的外科治疗、心肺移植、心肺脑复苏术等成人心脏病的外科治疗。

朱晖
副主任医师
中南大学湘雅二医院放射科副主任医师,从事介入治疗工作。中华医学会湖南省介入医学专业委员会常务委员及综合介入组组长,湖南省肿瘤介入管理专业委员会副主任委员,湖南省血管病诊疗管理专业委员会委员,湖南省放射介入质量控制中心专家组成员,中国研究型医院学会肿瘤介入专业委员会委员,湖南医院协会医学影像诊断管理专业委员会委员,具有25年临床一线介入治疗经验。
擅长:脑血管畸形、动脉瘤、动静脉瘘,肿瘤介入治疗。

申向民
副主任医师 硕士研究生导师
2002年至2007年在中南大学湘雅医院神经内科硕博连读,师从我国著名脑血管病专家杨期东、刘运海教授,毕业后在湘雅二医院神经内科从事临床、教学及科研工作。湖南省医学会神经内科学专业委员会睡眠障碍学组副组长、脑血管病学组委员。2007年10月受中南大学委派,至凤凰县人民医院参加医疗扶贫工作;2012年上半年被湖南省委组织部聘为卫生系统科技特派员,前往龙山县人民医院工作,在此期间的事迹被多家网站及媒体报道。主持湖南省科技厅课题与横向课题各1项,参与国家自然科学基金五项及省级科研项目3项,参与编写《神经内科临床心得》一书,在国内外期刊发表本专业论文30余篇,SCI收录5篇。
擅长:脑血管病、痴呆、睡眠障碍等神经系统常见病、少见病的诊治。