请输入关键字
洪水无情人有情,医疗创新护生命
作者:张文丹 时间: 2024.06.25

6月19日,连日的大雨使桂林遭受了罕见的洪水侵袭。在瓢泼大雨中,曾女士仍慕名到中南大学湘雅二医院桂林医院临桂院区胸外科求诊,希望能通过手术尽早治疗右下肺动静脉瘘。然而暴雨突袭,得知第二天的手术可能因为暴雨影响而取消时,曾女士心里十分忐忑和失望。

为了不辜负患者的期望,胸外科团队在艰难的环境下展现了非凡的担当。6月19日一整天,胸外科执行主任梁恒星副教授密切关注汛情通报和暴雨对临桂院区的影响,在确认洪峰将于当晚22点安全过境后,梁恒星当即通知手术组成员,确认手术如期进行。

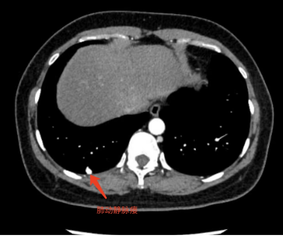
位于肺表面的肺动静脉瘘

人工气胸技术让非插管单孔胸腔镜肺手术术野显露更充分

6月20日,在各科室的密切配合下,梁恒星带领胸外科团队又一次成功完成一例非插管下胸腔镜单孔肺手术。与之前开展过的Tubeless单孔胸腔镜手术不同的是,该例手术首次引进人工气胸的先进理念,使得单孔手术中术野显露更充分、手术操作更高效简便。人工气胸理念在手术中的应用,无疑为胸外科手术提供了新的思路和方法,在提高手术效率的同时,也能减轻患者痛苦,加速患者术后恢复,真正促进ERAS(快速康复治疗)理念在胸外科落地。

此次手术的成功实施,彰显了中南大学湘雅二医院桂林医院医护人员对专业技术精益求精的追求,标志着医院在胸腔镜手术技术上有了重大突破。中南大学湘雅二医院桂林医院胸外科将继续开展独具特色的个体化非插管Tubeless胸科微创手术,争创桂林乃至广西胸外科ERAS标杆,为广大人民群众的健康保驾护航。

什么是肺动静脉瘘?

肺动静脉瘘多为先天性肺血管畸形,表现为患者的肺动脉和静脉之间的正常血管结构出现异常,血管扩张迂曲或形成海绵状血管瘤,肺动脉血液不经过肺泡直接流入肺静脉,肺动脉与静脉直接相通形成短路。

肺动静脉瘘有什么表现呢?

肺动静脉瘘的症状表现多样,根据瘘口的大小和血液分流的程度产生不同的表现。

活动后气促:由于血液分流导致血氧饱和度下降,患者在活动后会感到呼吸困难。

身体疲乏无力:血氧不足使身体各器官功能下降,导致患者感到疲乏无力。

胸闷、头晕眼花:血氧不足还可能引起胸闷、头晕眼花等不适症状。

身体浮肿:部分患者可能出现身体浮肿反应,尤其是下肢和面部。

咳嗽、咳痰:瘘口处可能出现局部类炎症反应,导致患者咳嗽甚至咯血。

发绀:当瘘口发生靠近心脏的肺门附近时,由于大量红细胞不经过肺泡交换氧气,患者可能出现皮肤和黏膜发绀的症状。

没有症状表现,也需要治疗吗?

虽然部分患者没有肺动静脉瘘临床症状,但在疾病进展过程中,可能会出现诸如脑梗塞、胸腔出血等严重甚至危及生命的并发症;此外,女性妊娠时,肺动静脉瘘的病灶会逐渐增大,随着病情进展,患者可能出现进行性呼吸困难、呼吸衰竭等危急情况。因此,一旦怀疑患者患上肺动静脉瘘,就需尽快请专业胸外科医生评估,并判断是否需要进行外科干预,避免脑血管意外事件的发生。

通讯员:张文丹

审核:一审刘鑫林 二审唐大钧 三审唐清