近日,中南大学湘雅二医院桂林医院胸外科成功开展桂北地区首例恶性胸腺瘤根治+无名静脉切除+上腔静脉切除伴人工血管置换手术,此项技术成功填补了桂北地区胸外科在该项技术上的空白。
据了解,恶性胸腺瘤虽然在胸部恶性疾病中发病率较低,却因解剖位置较深,肿瘤生长时期多无症状,往往在CT体检时才被发现。如果不及时处理,恶性胸腺瘤将会进一步侵犯周围的上腔静脉、无名静脉、主动脉等大血管,甚至影响心脏结构而产生严重的后果。此类恶性胸腺瘤切除手术难度高、风险大,是公认的胸外科领域内最具挑战性的手术之一。
颜女士(化名)从今年上半年起就感觉肩背疼痛伴右上肢麻木,在外院就诊时,被诊断为颈椎病、甲状腺功能减退。按当地医院治疗方案治疗一段时间后,颜女士原有症状却并没有得到缓解,11月初甚至出现了颜面及右上肢进行性肿胀,并伴有呼吸困难和顽固性头痛。求医心切的颜女士,听闻中南大学湘雅二医院桂林医院南门社区卫生服务中心有桂林国家区域医疗中心的湘雅二医院驻桂专家长期指导工作,于是专门来到南门社区卫生服务中心寻求帮助。
11月21日,南门社区卫生服务中心胸部CT检查提示颜女士前纵隔存在一个巨大占位性病变,中心放射科副主任医师张逢国立即与湘雅二医院驻桂专家、桂林医院胸外科执行主任梁恒星电话联系。梁恒星主任在听完病情介绍后,当即就判断患者为恶性胸腺肿瘤侵犯上腔静脉系统,并建议患者立即转到中南大学湘雅二医院桂林医院临桂院区进一步明确诊断。
第二天,临桂院区高端256排增强CT检查结果证实了梁恒星主任的诊断——颜女士的纵隔肿瘤很可能是恶性胸腺瘤,并且病变已经外侵,完全阻断了颜女士的上腔静脉,导致上半身、尤其是颅内血液回流受阻,如果不及时手术,可能会出现严重的脑水肿并威胁生命。而恶性胸腺瘤保守治疗效果不确切,不能保证患者能在短时间内解除上半身血流梗阻,一旦决策错误,将带来灾难性后果。
梁恒星主任自2007年以来,一直跟随博士生导师、湘雅名医喻风雷教授和湘雅名医胡建国教授钻研重症复杂胸部肿瘤的治疗,经过一番缜密分析后,梁恒星主任认为患者肿瘤可以完整切除,并且需要尽快完成手术。
为了保障患者生命安全、提高手术成功率,在发现胸部纵隔占位的第四天,梁恒星主任通过医院组织了胸外科、心脏大血管外科、麻醉科等科室的MDT联合会诊。经过充分的讨论后,专家团队认为,由于患者纵隔病变很可能是胸腺肿瘤,对内科治疗不敏感,立即手术几乎是患者生还的唯一机会。但是患者病变范围广泛,且包绕并累及上腔静脉及其三大属支(左右无名静脉及其静脉),使得无论是手术中完整切除肿瘤,还是保护心脏、大血管结构和脑保护,都变得相当困难。如果手术中发现肿瘤累及了心脏结构,术中大出血和随之而来的脑水肿、脑保护又成了一个摆在手术团队面前的难题。
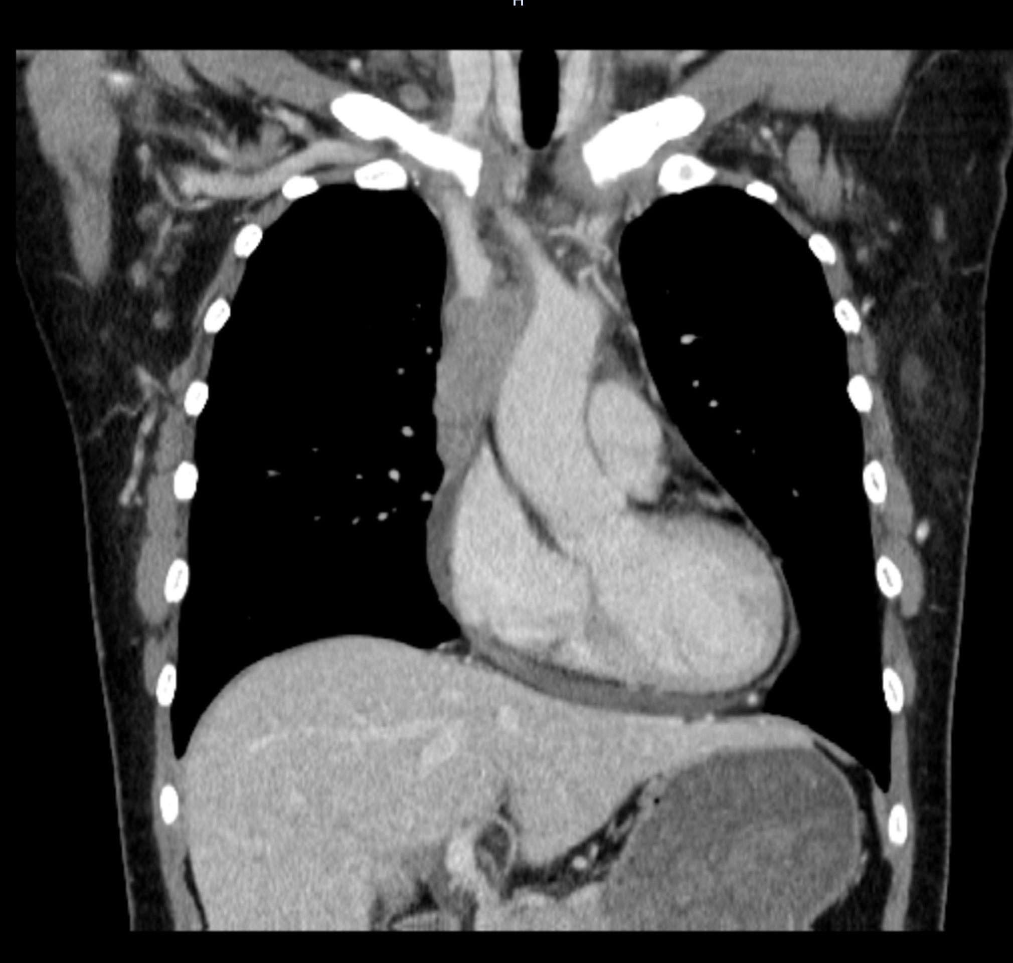
患者术前CT结果提示纵隔肿瘤侵犯上腔静脉及其所有属支
经过严谨的术前讨论和规划,专家们一致同意梁恒星主任制定的“摘瘤换脉”方案,同时联系心脏外科团队做好“体外循环下切除可能受累的心脏结构”等备选方案,这样即使手术中出现心脏受累,仍有充分把握可以切除肿瘤,力保万无一失。
但就在讨论当天,颜女士面部和双上肢水肿情况进一步加重,甚至出现了颅高压体征。梁恒星主任连夜奔赴长沙,邀请“金刀奖”得主、首届湘雅名医、前湘雅二医院胸心血管外科主任胡建国教授赴桂指导。在颜女士入院第六天,梁恒星主任和手术团队在周六的上午加班为颜女士进行急诊手术。
“金刀奖”得主、首届湘雅名医、前湘雅二医院胸心血管外科主任胡建国教授同台指导梁恒星主任主刀完成手术
术中,梁恒星主任仅用时3小时,便完整切除了患者前纵隔肿瘤,同时在非体外循环下进行了上腔静脉切除并完成人工血管置换。此外,梁恒星主任还对患者受累及的左无名静脉和右上肺叶部分组织进行了切除。患者术后也取得了立竿见影的效果——面部浮肿开始消退,双上肢臂围也日渐缩小,头痛欲裂的感觉也消失得无影无踪。最终的病理检查结果也令颜女士和她的家人感到欣慰——胸腺癌病灶被完整切除,所有切缘都没有肿瘤细胞残留。
术后CT证实人工血管通畅,患者上半身水肿消失
梁恒星主任表示,此次手术难度大,非常考验医生的吻合技术,对精准度和手术质量要求非常高。如果在阻断上腔静脉系统后30分钟内没有完成静脉重建,患者大脑就会因为脑水肿而造成永久性脑损伤,而缝合不严则会出现灾难性大出血。术后的抗凝治疗也关系到患者远期血管通畅程度。种种因素让胸腺瘤切除大血管成形手术成为胸外科最高难度的手术之一。
据了解,该项手术是桂北地区首次开展,标志着中南大学湘雅二医院桂林医院(国家区域医疗中心)胸外科继率先开展非插管下单孔胸腔镜下肺癌根治术、4K荧光显影下精准肺段切除术后,取得的又一里程碑式成就。医院胸外科秉承湘雅二医院同质化建设的理念,助力桂林国家区域医疗中心达成以外科尖端技术为特色的建设目标,让桂北及周边地区的群众在家门口就可以享受到国家级高水准的医疗服务。
专家介绍
梁恒星
胸外科
副主任医师 博士
擅长各种胸科疾病微创手术,尤其擅长肺小结节精准诊疗、复杂纵隔疾病诊治、手汗症个体化治疗。
2009年毕业于中南大学湘雅医学院临床医学七年制。毕业后一直致力于胸外科手术及急危重症救治工作。可开展胸腔镜下肺叶、肺段切除术等常规胸科手术,亦可完成巨大纵隔肿物扩大切除及血管重建术等。自2018年参与建立胸外科监护室以来,监护超4000人次/年,加速了胸外科患者围术期康复进程,使术后死亡率大幅下降,低于业内水平。现任湖南省医学会胸外科分会创伤学组委员、湖南省老年医学会胸外科分会委员、湖南省胸外科加速康复外科示范病房及培训中心秘书。
目前作为主要参与人参与了国家级课题3项,2015年在美国艾奥瓦大学卡佛医学院研修一年,以第一作者/通讯作者在中外刊物上发表文章、论著十余篇,IF值超20。
胡建国
首届湘雅名医
主任医师
教授 博士生导师
擅长冠脉搭桥术、大血管外科手术、复杂先天性心脏病手术、新生儿心脏手术。
湘雅二医院心血管外科研究室主任,湖南省心血管病研究所所长,中国体外循环学会委员,湖南省医学会胸心血管外科学专业委员会副主委,中南六省胸心外科学会委员。
1973年毕业于湖南医学院,1974年分配到附二院外科工作。1981年考入湖南医学院硕士研究生班,1984年获硕士学位。1997年在美国杜克大学进修访问半年。1985年晋升为主治医师、讲师,1991年晋升为副主任医师,1995年破格晋升为教授、主任医师。1994年开始享受政府特殊津贴。
率先在国内开展了Bentall手术同期经主动脉口进行二尖瓣置换,房腔交界成形术治疗布加氏综合征、左后外侧切口进行二尖瓣再次置换等。率先在湖南省开展新项目、新技术40余项,在省内首先开展冠脉搭桥术获成功,开展了急性主动脉夹层剥离升主动脉替换、全主动脉弓移植、肺动脉闭锁行心外导管手术、Switch、Senning手术治疗完全性大动脉转位、主动脉瓣环增宽成形主动脉瓣置换、保留全部瓣叶及腱索进行二尖瓣置换、自体心包三尖瓣再造成形治疗三尖瓣低位、预激综合征外科治疗、全隆突切除成形、食管异物致主动脉破裂大出血抢救成功。开展了非中断心肌供血进行心内直视手术,包括进行四联症根治、二尖瓣置换和全腔肺动脉连接等复杂手术。
1993年主持胸心外科工作以来,每年获医院新技术成果一等奖,使体外循环手术由1992年的269台次/年升至2007年近2700台次/年,包括普胸手术达4000台次/年,死亡率由9.6%降至2.0%以下。培养硕、博士生36名。带领胸心外科于2002年跻身于国家级重点学科之列。
主持完成省重点项目牛颈静脉基础与临床研究,完成原位心脏移植,参加多项国家自然科学基金资助项目及深低温体外循环研究,并获省部级成果奖多项。发表论文60余篇。主持完成湖南省首例心肺联合移植病人为我国成活时间最长、生活质量最好的纪录,现已成活21年,已获湖南医学科技奖一等奖。
喻风雷
医学博士 教授
博士研究生导师
湘雅名医
擅长胸部肿瘤的诊断与外科治疗。
现任中南大学湘雅二医院胸外科主任及研究室主任。中国研究型医院胸外科学专业委员会副主任委员;海峡两岸医药卫生交流协会胸外科专业委员会副主任委员;中国医师协会胸外科医师分会常务委员;湖南省医学会胸外科学专业委员会候任主任委员;湖南省抗癌协会肺癌专业委员会副主任委员等。
从事心胸外科工作近30年,成功完成数百例重症复杂胸外科手术,如胸背部巨大肿块的切除与重建、食管癌累及气管与隆突的同期切除与气管重建、恶性肿瘤累及主动脉弓的部分切除与重建、食管+主动脉瘘修补重建、超长气管切除后气管重建、非体外循环下序贯双肺移植、自体肺移植等;首次提出了以操纵空间、分离界面、重建方法和手术材料为主要指标的胸外科手术难度评价指标体系,总结并提出了胸外科手术难度分型及处理策略;在肺癌循环肿瘤细胞的捕获与鉴定、循环血肿瘤DNA检测、肺癌的免疫治疗、碳纤维复合材料的胸外科应用等领域进行积极探索并取得较大成效。
主持完成科研课题35项,发表论文100余篇,其中SCI论文20余篇,发明专利2项。已培养硕士生13名,博士生17名。
审核:一审刘鑫林 二审唐大钧 三审唐清