请输入关键字
重获“疏”适丨湘雅二医院桂林医院泌尿外科“黑科技”支架精准疏通生命管道
作者:姚湘锡 时间: 2025.12.05
近日,中南大学湘雅二医院桂林医院(桂林国家区域医疗中心)泌尿外科团队在驻桂专家、执行主任赵洪青及行政副主任周骥带领下,成功完成一例高难度金属温控输尿管支架置入术,为一名晚期肿瘤患者解除了输尿管梗阻,疏通了身体的“下水道”。该技术的顺利应用,标志着医院在泌尿外科微创治疗领域取得了新突破,也为桂林乃至广西地区的患者带来了新的治疗选择。
患者阳女士(化名)是一位晚期乳腺癌患者,多年来一直在桂林医院肿瘤血液科坚持治疗。面对肿瘤全身多处转移的严峻病情,她始终以乐观和坚强的态度与之抗争。多年抗癌路上,放化疗的艰辛未曾将她击倒。然而,肿瘤腹膜后转移压迫双侧输尿管,导致其双肾积水、肾功能严重受损,肌酐升高,体内毒素无法顺利排出,这为她本就不易的抗癌之路增添了又一重难关。

随着病情进展,阳女士身体状况日益下降。她曾辗转多家医院,得到的建议多是定期更换普通输尿管支架,但肿瘤进展导致输尿管支架压力过高,即使更换支架,尿液仍然不能正常排出。她也尝试过肾造瘘引流,但长期留置外露的引流管不仅容易发生感染、脱出,也给日常生活带来了极大不便。后来,阳女士了解到中南大学湘雅二医院桂林医院泌尿外科能够开展一种被称为“黑科技”的金属支架置入术,或许能让她摆脱造瘘管的折磨,于是慕名前来求医。

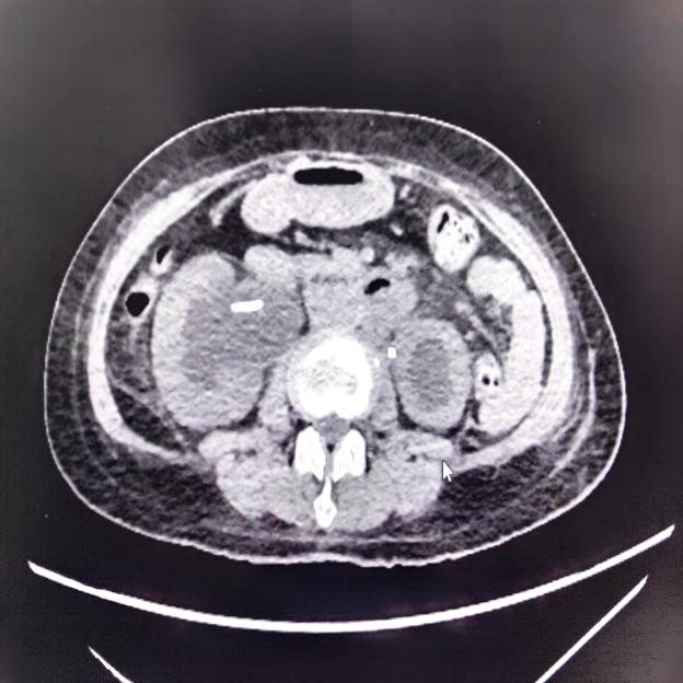
术前影像检查清晰显示患者双侧肾积水及输尿管受压
入院完善相关检查后,医师发现患者右侧输尿管受到肿瘤严重压迫,其承担主要排毒功能的肾脏产生的尿液完全无法流入膀胱。针对这一棘手情况,赵洪青、周骥带领团队经过审慎评估,最终为患者确定了“黑科技”金属温控输尿管支架置入术这一精准治疗方案。

赵洪青介绍,此次应用的“黑科技”全称为热膨胀金属输尿管支架,它利用镍钛合金在特定温度下呈现不同形态的特点,在5℃低温下柔软易塑形,便于置入和取出;而在37℃的人体温度下,它能提供持久、稳定的径向支撑力,有效对抗外部压迫。这项技术操作新颖,且相较于进口产品费用更低,能让更多患者尤其是恶性肿瘤压迫、腹膜后纤维化、肿瘤占位、放疗后等原因造成的难治性输尿管狭窄的患者受益。

正是基于这项技术带来的可能性,团队决定迎难而上,为阳女士实施手术。术中镜下可见患者右侧输尿管狭窄段极为严重,连最细的输尿管硬镜也无法通过。面对这一复杂情况,团队凭借丰富的经验和娴熟的技术,巧妙地运用输尿管软镜结合球囊扩张技术,成功扩张了狭窄段,并将金属温控支架精准置入预定位置,手术取得圆满成功。

术后复查影像显示患者肾积水明显减轻,尿液引流通畅

术后,阳女士的肾功能得到显著改善,在夹闭肾造瘘管的情况下,肌酐值从术前的168.7umol/L降至正常范围。后续影像复查确认,尿液已能经由温控支架架构的“新通道”顺畅流入膀胱。最终,阳女士在出院前成功拔除了困扰她已久的肾造瘘管。

摆脱了体外引流管的束缚,阳女士的生活质量得到了极大提升,脸上也重现了笑容。她表示:“开心地过好每一天,还有你们(医护人员)为我保驾护航,我绝不会放弃。”为了表达深深的谢意,她特意为泌尿外科团队送上了锦旗和感谢信。
此次高难度手术的成功实施,不仅是泌尿外科微创技术实力的有力印证,更体现了国家区域医疗中心在攻克疑难重症、引入并创新先进治疗方案方面的担当与作为。热膨胀金属输尿管支架技术的应用,为恶性肿瘤压迫等原因导致的复杂性输尿管狭窄患者提供了一种更为长效、经济、且能显著提升生活质量的有效选择,真正实现了“以患者为中心”的医疗理念,照亮了更多危重患者的康复之路。